DR. HUMBERTO SIQUEIRA ESPECIALIZA-SE EM RESINA INJETÁVEL BIOATIVAS
A atualização e modernização deve ser uma constante na vida do profissional que se dedica a atender seus clientes e amigos, ofertando sempre serviço de qualidade e ofertando o que há de melhor em materiais e tecnologia.
Foi com esse sentimento que Dr. Humberto Siqueira, conceituado odontólogo em Conselheiro Pena, realizou em Belo Horizonte, nos dias 19, 20 e 21 de maio o curso presencial de Resina Injetável Biotiavas, ministrados pelos renomados professores Artur e Alosio Napoleao. O curso teve início on-line e sua finalização foi presencial.
O QUE SÃO RESINAS BIOINJETÁVEIS BIOATIVAS ?
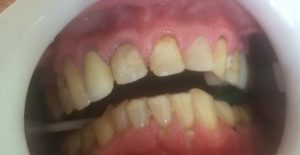
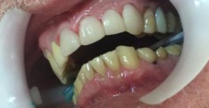
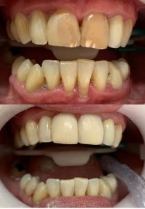
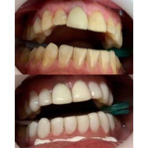
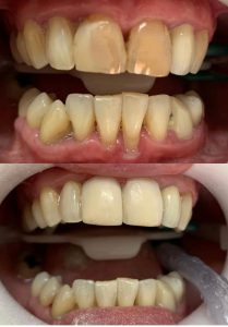
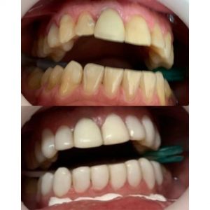
As Resinas Bioinjetável Bioativas, são utilizadas para a correção da cor dos dentes anteriores, como alinhamento e corretivos, como:
==> Facetas de resina
==> Lente de contato
==> Estimula a calcificação dos dentes, libera flúor
==>utilizada para tratamento de dentes sensíveis e cáries profundas
==> protege os dentes contra futuras cáries
==> novas técnicas de correção do sorriso, sem desgastar os dentes anteriores ( Lentes de Contato )

























Profissional de qualidade estar ai.